Skip to main navigation menu Skip to main content Skip to site footer

Research Articles

Vol. 9 No. 1 (2022)

Avirulence gene based RFLP and rep-PCR distinguish the genetic variation of Xanthomonas oryzae pv. oryzae pathotypes in Bangladesh

DOI
https://doi.org/10.14719/pst.1369
Submitted
4 July 2021
Published
01-01-2022

Abstract

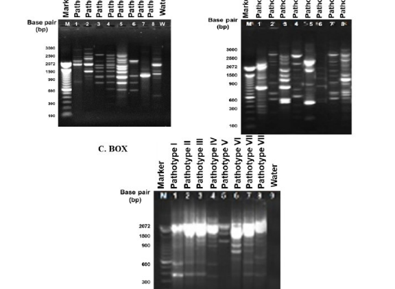
Bacterial blight (BB) caused by X. oryzae pv. oryzae is one of the devastating diseases of rice mostly in Asia. Genomes of X. oryzae pv. oryzae is highly variable due to rearrangement of the large contents of transposable elements and dynamic changes of X. oryzae pv. oryzae population regulated efficiency of the control measures used for BB management of rice worldwide. In this study, genetic variation of X. oryzae pv. oryzae pathotypes of Bangladesh was studied using aviruelnce gene based RFLP and rep-PCR techniques aimed to formulate pathogen targeted effective control measures against BB of rice. Eight pathotypes of X. oryzae pv. oryzae field isolates were identified based on their reactions against 10 Near Isogenic Lines (NILs). Among eight pathotypes, pathotypes IV and V contained higher number of isolates which were 30.13% and 23.01% respectively while pathotype VIII revealed as minimum containing only 2.51% of total isolates. These eight pathotypes were studied for their genetic variation by RFLP using avrBs3 repeat domain as probe. The results conceded that Bangladeshi X. oryzae pv. oryzae strains seem carrying a minimum of two and maximum of nine avrBs3 family genes homologs. The resistance phenotype on IRBB7 and IRBB10 NILs also indicated presence of two major avrBs3 family genes viz. avrxa7 and avrXa10 in some pathotypes. Relationship of phylogenicity exhibited that X. oryzae pv. oryzae pathotypes assorted into two RFLP haplotypes as well as these haplotypes are largely distributed in Bangladesh. Phylogenetic analyses carried out by (REP, ERIC), rep-PCR and BOX depicted the presence of two main molecular haplotypes of X. oryzae pv. oryzae pathotypes. The relationship between pathotypes and molecular haplotypes of X. oryzae pv. oryzae in Bangladesh indicated that the same lineage possesses different pathotypes and different lineage possesses different pathotypes. The results indicated that eight different pathotypes might have originated from common inherited haplotypes with a wide genetic variation.

References

  1. Chisholm ST, Coaker G, Day B, Staskawicz BJ. Host-microbe interactions: shaping the evolution of the plant immune response. Cell. 2006 Feb 24;124(4):803-14. https://doi.org/10.1016/j.cell.2006.02.008
  2. Anderson JP, Gleason CA, Foley RC, Thrall PH, Burdon JB, Singh KB. Plants versus pathogens: an evolutionary arms race. Functional Plant Biology. 2010 May 20;37(6):499-512. https://doi.org/10.1071/FP09304
  3. Dangl JL, Jones JD. Plant pathogens and integrated defence responses to infection. Nature. 2001 Jun;411(6839):826-33. https://doi.org/10.1038/35081161
  4. Hu Y, Rolfs A, Bhullar B, Murthy TV, Zhu C, Berger MF, Camargo AA, Kelley F, McCarron S, Jepson D, Richardson A. Approaching a complete repository of sequence-verified protein-encoding clones for Saccharomyces cerevisiae. Genome Research. 2007 Apr 1;17(4):536-43.http://www.genome.org/cgi/doi/10.1101/gr.6037607
  5. Van Sluys MA, Monteiro-Vitorello CB, Camargo LE, Menck CF, Da Silva AC, Ferro JA, Oliveira MC, Setubal JC, Kitajima JP, Simpson AJ. Comparative genomic analysis of plant-associated bacteria. Annual Review of Phytopathology. 2002 Sep;40(1):169-89. https://doi.org/10.1146/annurev.phyto.40.030402.090559
  6. Mew TW, Vera Cruz CM, Medalla ES. Changes in race frequency of Xanthomonas oryzae pv. oryzae in response to rice cultivars planted in the Philippines. Plant Disease. 1992;76(10):1029-32. https://doi.org/10.1094/PD-76-1029
  7. Ishiyama S. Studies of bacterial leaf blight of rice. Report of the Imperial Agricultural Station. 1992;45:233-61.
  8. Swing JR. Classification of the causal agents of bacterial blight (Xanthomonas campestris pv. oryzae) and bacterial leaf streak (Xanthomonas campestris pv. oryzicola) of rice as pathovars of Xanthomonas oryzae (ex Ishiyama 1922) sp. nov. nom. rev. International Journal of Systematic Bacteriology. 1990;40:309-11. https://doi.org/10.1099/00207713-40-3-309
  9. Mew TW, Wu SZ, Horino H. Pathotypes of X. campestris pv. oryzae in Asia. IRRI Research Paper Series 75. International Rice Research Institute, Manila, The Philippines; 1982.
  10. Bradbury. Genus II. Xanthomonas Dowson. In: Bergey’s Manual of Systematic Bacteriology (Krieg, N.R. and Holt, J.G., eds). 1984; pp. 199–210.
  11. OCTA. 1970. Bacterial leaf blight of rice. Plant in Southeastern Asia. Overseas Technical Cooperation Agency, Tokyo, Japan. pp. 71.
  12. Ninoliu DO, Ronald PC, Bogdanove AJ. Xanthomonas oryzae pathovars: model pathogens of a model crop. Molecular Plant Pathology. 2006;7:303– 24. https://doi.org/10.1111/j.1364-3703.2006.00344.x.
  13. Mew TW, Alvarez AM, Leach JE, Swings J. Focus on bacterial blight of rice. Plant Disease. 1993;77(1):5-12.https://doi.org/10.1094/PD-77-0005
  14. Ou SH. Rice Diseases. 2nded, Commonwealth Mycological Institute, Kew, Surrey, England; 1985, p. 61-96.
  15. Islam MR, Alam MS, Khan AI, Hossain I, Adam LR, Daayf F. Analyses of genetic diversity of bacterial blight pathogen, Xanthomonas oryzae pv. oryzae using IS 1112 in Bangladesh. Comptes Rendus Biologies. 2016 Sep 1;339(9-10):399-407.https://doi.org/10.1016/j.crvi.2016.06.002
  16. Noda T, Yamamoto T, Kaku H, Horino O. Geographical distribution of pathogenic races of Xanthomonas oryzae pv. oryzae in Japan in 1991. Japanese Journal of Phytopathology. 1996;62(6):549-53. https://doi.org/10.3186/jjphytopath.62.549
  17. Jalaluddin M, Kashem M. 1999. Pathogenic variability in Xanthomonas oryzae pv.oryzae in Bangladesh. The Indian Journal of Agricultural Sciences. 69:25–27.
  18. Islam M, Islam N, Juthy P, Haque M, Rahman M. Identification of plant growth promoting antagonistic bacteria against Xanthomonas oryzae pv. oryzae in Bangladesh. Fundamental of Applied Agriculture. 2019; 4:1. https://doi.org/10.5455/faa.67224
  19. Verdier V, Cruz CV and Leach JE. Controlling rice bacterial blight in Africa: Needs and prospects in Journal of Biotechnology. 2012;159:320-28. https://doi.org/10.1016/j.jbiotec.2011.09.020
  20. Reddy PR. Kresek phase of bacterial blight of rice. Oryza. 1984;21:179-87.
  21. Bharani M, Nagarajan P, Rabindran R, Saraswathi R, Balasubramanian P, Ramalingam J. Bacterial leaf blight resistance genes (xa21, xa13 and xa5) pyramiding through molecular marker assisted selection into rice cultivars. Archives of Phytopathology and Plant Protection. 2010 Jul 1;43(10):1032-43. https://doi.org/10.1080/03235400802285471
  22. Alam MS, Islam MR, Hossain I, Bhuiyan MR, Khan MA. Pathotypic variation of Xanthomonas oryzae pv. oryzae in Bangladesh. Archives of Phytopathology and Plant Protection. 2016 Feb 25;49(1-4):31-42.https://doi.org/10.1080/03235408.2016.1150633
  23. Vera Cruz CM. Bacteriological and pathological variation of Xanthomonas campestris pv. oryzae (Ishiyama) dye, the pathogen of bacterial blight of rice, MS thesis. Los Banios, Philippines, University of the Philippines, 1984.
  24. Noda D, Ronald P, Bogdanove AJ. Pathogen profile Xanthomonus oryzae pathovars: model pathogen of a model crop. Molecular Plant Pathology. 2001;7:303–24. https://doi.org/10.1111/j.1364-3703.2006.00344.x
  25. Haque MM., Masud MM., Hossain MI., Rashid MM, Alam MZ, Islam MR. Assessment of potentiality of known bacterial blight resistant genes against Xanthomonas oryzae pv. oryzae pathotypes exist in Bangladesh. Archives of Agriculture and Environmental Science. 2021;6(3):257-67. https://doi.org/10.26832/24566632.2021.060301
  26. Brar DS, Khush GS. Alien introgression in rice. Oryza: from molecule to plant. 1997:35-47. https://doi.org/10.1007/978-94-011-5794-0_4
  27. Lee KS, Rasabandith S, Angeles ER, Khush GS. Inheritance of resistance to bacterial blight in 21 cultivars of rice. Phytopathology. 2003 Feb;93(2):147-52. https://doi.org/10.1094/PHYTO.2003.93.2.147
  28. Busungu C, Taura S, Sakagami JI, Anai T, Ichitani K. High-resolution mapping and characterization of xa42, a resistance gene against multiple Xanthomonas oryzae pv. oryzae races in rice (Oryza sativa L.). Breeding science. 2018:17094. https://doi.org/10.1270/jsbbs.17094
  29. Lee YH, Kolade OO, Nomura K, Arvidson DN, He SY. Use of dominant-negative HrpA mutants to dissect Hrppilus assembly and type III secretion in Pseudomonas syringae pv. tomato. Journal of Biological Chemistry. 2005 Jun 3;280(22):21409-17. https://doi.org/10.1074/jbc.M500972200
  30. Salzberg SL, Sommer DD, Schatz MC, Phillippy AM, Rabinowicz PD, Tsuge S, Furutani A, Ochiai H, Delcher AL, Kelley D, Madupu R. Genome sequence and rapid evolution of the rice pathogen Xanthomonas oryzae pv. oryzae PXO99 A. BMC Genomics. 2008 Dec;9(1):1-6. https://doi.org/10.1186/1471-2164-9-204
  31. Ochiai H, Inoue Y, Takeya M, Sasaki A, Kaku H. Genome sequence of Xanthomonas oryzae pv. oryzae suggests contribution of large numbers of effector genes and insertion sequences to its race diversity. Japan Agricultural Research Quarterly: JARQ. 2005 Oct 31;39(4):275-87. https://doi.org/10.6090/jarq.39.275
  32. Leach JE, White FF, Rhoads ML, Leung H. A Repetitive DNA Sequence Differentiates Xanthomonas campestris pv. oryzae from Other Pathovars of X. campestris. Molecular Plant-Microbe Interactions. 1990;3(4):238-46. https://doi.org/10.1094/MPMI-3-238
  33. Yang Y, Gabriel DW. Intragenic recombination of a single plant pathogen gene provides a mechanism for the evolution of new host specificities. Journal of Bacteriology. 1995 Sep;177(17):4963-8. https://doi.org/10.1128/jb.177.17.4963-4968.1995
  34. Cruz CV, Ardales E, Skinner D, Talag J, Nelson R, Louws F, Leung H, Mew T, Leach J. Measurement of haplotypic variation in Xanthomonas oryzae pv. oryzae within a single field by rep-PCR and RFLP analyses. Studies. 1996;15:18.
  35. Hopkins CM, White FF, Choi SH, Guo A, Leach JE. Identification of a family of avirulence genes from Xanthomonas oryzae pv. oryzae. Molecular Plant-Microbe Interaction. 1992 Nov 1;5(6):451-59. https://doi.org/10.1094/MPMI-5-451
  36. Lahaye T, Bonas U. Molecular secrets of bacterial type III effector proteins. Trends in plant Science. 2001 Oct 1;6(10):479-85. https://doi.org/10.1016/S1360-1385(01)02083-0
  37. Chatelut M, Dournes JL, Chabanon G, Marty N. Epidemiological typing of Stenotrophomonas (Xanthomonas) maltophilia by PCR. Journal of Clinical Microbiology. 1995 Apr;33(4):912-14. https://doi.org/10.1128/jcm.33.4.912-914.1995
  38. Snelling AM, Gerner-Smidt P, Hawkey PM, Heritage J, Parnell P, Porter C, Bodenham AR, Inglis T. Validation of use of whole-cell repetitive extragenic palindromic sequence-based PCR (REP-PCR) for typing strains belonging to the Acinetobactercal coaceticus-Acinetobacter baumannii complex and application of the method to the investigation of a hospital outbreak. Journal of Clinical Microbiology. 1996 May;34(5):1193-202. https://doi.org/10.1128/jcm.34.5.1193-1202.1996
  39. Louws FJ, Fulbright DW, Stephens CT, De Bruijn FJ. Differentiation of genomic structure by rep-PCR finger-printing to rapidly classify Xanthomonas campestris pv. vesicatoria. Phytopathology. 1995 May 1;85(5):528-36. https://doi.org/10.1094/Phyto-85-528
  40. Versalovic J, Koeuth T, Lupski R. Distribution of repetitive DNA sequences in eubacteria and application to finerpriting of bacterial enomes. Nucleic Acids Research. 1991 Dec 25;19(24):6823-31. https://doi.org/10.1093/nar/19.24.6823
  41. Hulton CS, Higgins CF, Sharp PM. ERIC sequences: a novel family of repetitive elements in the genomes of Escherichia coli, Salmonella typhimurium and other enterobacteria. Molecular microbiology. 1991 Apr;5(4):825-34. https://doi.org/10.1111/j.1365-2958.1991.tb00755.x
  42. Martin B, Humbert O, Camara M, Guenzi E, Walker J, Mitchell T, Andrew P, Prudhomme M, Alloing G, Hakenbeck R, Morrison DA. A highly conserved repeated DNA element located in the chromosome of Streptococcus pneumoniae. Nucleic acids Research. 1992 Jul 11;20(13):3479-83. https://doi.org/10.1093/nar/20.13.3479
  43. Adachi N, Takashi OK. PCR-mediated detection of Xanthomonas oryzae pv. oryzae by amplification of the 16S–23S rDNA spacer region sequence. Journal of General Plant Pathology. 2000 Nov;66(4):303-09. https://doi.org/10.1007/PL00012969
  44. Ogawa T, Khush GS. Major genes for resistance to bacterial blight in rice. Bacterial Blight of Rice, Proceedings of the International Workshop on Bacterial Blight of Rice. International Rice Research Institute, Manila, Philippines; 1988, P. 177-92.
  45. Reimers PJ, Leach JE. Race-specific resistance to Xanthomonas oryzae pv. oryzae conferred by bacterial blight resistance gene Xa-10 in rice (Oryza sativa) involves accumulation of a lignin-like substance in host tissues. Physiological and Molecular Plant Pathology. 1991 Jan 1;38(1):39-55. https://doi.org/10.1016/S0885-5765(05)80141-9.
  46. Wang CL, Zhang Q, Zhou YL, Zhao BY. Genetic diversity of pathogen Xanthomonas oryzae pv. oryzae from southern regions of Yangtze river in China. Chinese Journal of Rice Scienc. 2001; 15: 131–36. https://doi.org/10.1016/S1672-6308(08)60031-1
  47. Kauffman HE. An improved technique for evaluating resistance of rice varieties to Xanthomonas oryzae. Plant Disese Report. 1973; 57:537-41.
  48. Cruz V, Raymundo AK, Leach JE. Nonradioactive DNA analysis using biotin labeling and chemiluminescent detection. International Rice Research Notes. 1994.
  49. Hartl DL, Clark AW. Principle of Population Genetics, 3rd ed, Sinauer Associates, Sunderland, MA; 1997.
  50. Woolhouse ME, Webster JP, Domingo E, Charlesworth B, Levin BR. Biological and biomedical implications of the co-evolution of pathogens and their hosts. Nature Genetics. 2002 Dec;32(4):569-77. https://doi.org/10.1038/ng1202-569
  51. Flor HH. Current status of the gene-for-gene concept. Annual Review of Phytopathology. 1971;9:275-96. https://doi.org/10.1146/annurev.py.09.090171.001423
  52. Bonas U, Stall RE, Staskawicz B. Genetic and structural characterization of the avirulence gene avrBs3 from Xanthomonas campestris pv. Vesicatoria Molecular and General Genetics MGG. 1989 Jul;218 (1):127-36. https://doi.org/10.1007/BF00330575
  53. Versalovic J, Schneider M, De Bruijn FJ, Lupski JR. Genomic fingerprinting of bacteria using repetitive sequence-based polymerase chain reaction. Methods in Molecular and Cellular Biology. 1994 Jan 1;5(1):25-40.
  54. Gillings M, Holley M. Repetitive element PCR fingerprinting (rep?PCR) using enterobacterial repetitive intergenic consensus (ERIC) primers is not necessarily directed at ERIC elements. Letters in Applied Microbiology. 1997 Jul;25(1):17-21. https://doi.org/10.1046/j.1472-765X.1997.00162.x
  55. De Bruijn FJ. Use of repetitive (repetitive extragenic palindromic and enterobacterial repetitive intergeneric consensus) sequences and the polymerase chain reaction to fingerprint the genomes of Rhizobium meliloti isolates and other soil bacteria. Applied and Environmental Microbiology. 1992 Jul;58(7):2180-87. https://doi.org/10.1128/aem.58.7.2180-2187.1992
  56. Murry MA, Zhang D, Schineider M, DeBruijn FJ. Use of repetitive sequences and the polymerase chain reaction (rep-PCR) to fingerprint the genomes of Frankia isolates. Symbiosis. 1995;9:223-40.
  57. Del Vecchio VG, Petroziello JM, Gress MJ, McCleskey FK, Melcher GP, Crouch HK, Lupski JR. Molecular genotyping of methicillin-resistant Staphylococcus aureus via fluorophore-enhanced repetitive-sequence PCR. Journal of Clinical Microbiology. 1995 Aug; 33(8):2141-44. https://doi.org/10.1128/jcm.33.8.2141-2144.
  58. Georgiou G. Expression of proteins in bacteria, land JL, Craik CS, editors.; In Principles and Practice of Protein Engineering. ClePlenum Press: New York; 1994.
  59. Grover A, Azmi W, Gadewar AV, Pattanayak D, Naik PS, Shekhawat GS, Chakrabarti SK. Genotypic diversity in a localized population of Ralstonia solanacearum as revealed by random amplified polymorphic DNA markers. Journal of Applied Microbiology. 2006 Oct;101(4):798-806. https://doi.org/10.1111/j.1365-2672.2006.02974.x
  60. Rademaker JL, Louws FJ, Schultz MH, Rossbach U, Vauterin L, Swings J, De Bruijn FJ. A comprehensive species to strain taxonomic framework for Xanthomonas. Phytopathology. 2005 Sep;95(9):1098-111. https://doi.org/10.1094/PHYTO-95-1098
  61. Gonzalez C, Szurek B, Manceau C, Mathieu T, Séré Y, Verdier V. Molecular and pathotypic characterization of new Xanthomonas oryzae strains from West Africa. Molecular Plant-Microbe Interactions. 2007 May;20(5):534-46. https://doi.org/10.1094/MPMI-20-5-0534
  62. George ML, Bustamam M, Cruz WT, Leach JE, Nelson RJ. Movement of Xanthomonas oryzae pv. oryzae in Southeast Asia detected using PCR-based DNA fingerprinting. Phytopathology. 1997 Mar;87(3):302-29. https://doi.org/10.1094/PHYTO.1997.87.3.302
  63. Nayak P. Host-pathogen interaction in bacterial blight pathosystem in rice. Acta phytopathologica Etentomologica Hungarica. 1986;21(1-2):109-14.
  64. Nelson RJ, Baraoidan MR, Cruz CM, Yap IV, Leach JE, Mew TW, Leung H. Relationship between phylogeny and pathotype for the bacterial blight pathogen of rice. Applied and Environmental Microbiology. 1994 Sep;60(9):3275-83. https://doi.org/10.1128/aem.60.9.3275-3283.1994
  65. Ochiai H, Horino O, Miyajima K, Kaku H. Genetic diversity of Xanthomonas oryzae pv. oryzae strains from Sri Lanka. Phytopathology. 2000 Apr;90(4):415-21. https://doi.org/10.1094/PHYTO.2000.90.4.415
  66. Yashitola J, Krishnaveni D, Reddy AP, Sonti RV. Genetic diversity within the population of Xanthomonas oryzae pv. oryzae in India. Phytopathology. 1997 Jul;87(7):760-65.https://doi.org/10.1094/PHYTO.1997.87.7.760
  67. Adhikari TB, Basnyat RC, Mew TW. Virulence of Xanthomonas oryzae pv. oryzae on rice lines containing single resistance genes and gene combinations. Plant Disease. 1999 Jan;83(1):46-50. https://doi.org/10.1094/PDIS.1999.83.1.46

Downloads

Download data is not yet available.