Skip to main navigation menu Skip to main content Skip to site footer

Research Articles

Early Access

Study the hepatoprotective effect of the methanolic extract of Plumbago auriculata Lam. against CCl4-induced hepatocyte damage in mice

DOI
https://doi.org/10.14719/pst.3572
Submitted
19 March 2024
Published
12-05-2024
Versions

Abstract

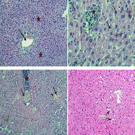
The liver is an important organ in the body; its diseases are considered the major causes of morbidity and mortality around the world. Hepatotoxic chemicals cause damage to liver cells. Medicinal plants have a powerful hepatoprotective effect. This study has been aimed to assess the potential hepatoprotective effect of the methanolic extract of Plumbago auriculata Lam. against carbon tetrachloride (CCl4)- induced hepatocyte damage in albino mice. The methanolic extract of the plant was subjected to preliminary phytochemical analysis to determine the presence of secondary metabolites according to standard protocols. The acute toxicity study was carried out to measure the LD50. Swiss albino mice were divided into 4 groups treated intraperitoneally (IP) once daily for 7 days; the first group was a negative control, while the second group, considered as a CCl4 model, received a single dose of carbon tetrachloride during the last day. The third group received 500 mg/kg of body weight of methanolic extract of P. auriculata, and the last group received 100 mg/kg of body weight of standard silymarin, after 2 h of treatment, on the last day, all animals (except negative control group) have received CCl4 at a dose of 1 mL/kg of body weight. Biochemical analysis of collected blood and histopathological examination were performed. Results revealed that the preliminary phytochemical screening of the methanolic extract of the plant confirmed the presence of many biologically active secondary metabolites like flavonoids, steroids, terpenoids, saponins, glycosides and phenols and LD50 of the extract was 2.5 g/kg. The CCl4- intoxicated mice showed an increase in biochemical enzyme levels (ALT and AST) compared with the negative control group. The extract of 500 mg/kg revealed a significant reduction (p ? 0.05) in enzyme activities. The histopathological analysis of plant extract and silymarin-treated groups revealed a decrease in the pathological features compared with the CCl4-intoxicated group. It was concluded that the extract of P. auriculata has a significant effect on hepatoprotection against CCl4-induced hepatocyte damage and this may be because of the combined effects of the bioactive compositions of plant extract.

References

  1. Al-Mehdar AA, ammag MA, Hussien TA. Assessment of hepatoprotective activity of Caralluma cicatricosa against CCl4-induced liver damage in rabbits. J Drug Deliv Ther. 2015;3(34):1-10.
  2. Chen R, Liu J, Chen Z, Cai WJ, Li XF, Lu CL. Anthraquinones extract from Morinda angustifolia Roxb. root alleviates hepatic injury induced by carbon tetrachloride through inhibition of hepatic oxidative stress. J Evid Based Complementary Altern Med. 2020; 2020. https://doi.org/10.1155/2020/9861571
  3. Sivakrishnan S. Liver diseases—An overview. World J Pharm Pharm Sci. 2019;8:1385-95.
  4. Subramaniam S, Hedayathullah Khan HB, Elumalai N, Sudha Lakshmi SY. Hepatoprotective effect of ethanolic extract of whole plant of Andrographis paniculata against CCl4-induced hepatotoxicity in rats. Comp Clin Path. 2015;24(5):1245-51. http://dx.doi.org/10.1007%2Fs00580-015-2067-2
  5. Fouad D, Badr A, Attia HA. Hepatoprotective activity of raspberry ketone is mediated via inhibition of the NF-?B/TNF-?/caspase axis and mitochondrial apoptosis in chemically induced acute liver injury. Toxicol Res. 2019;8(5):663-76. https://doi.org/10.1039/c9tx00068b
  6. Cheng N, Ren N, Gao H, Lei X, Zheng J, Cao W. Antioxidant and hepatoprotective effects of Schisandra chinensis pollen extract on CCl4-induced acute liver damage in mice. Food Chem Toxicol. 2013;55:234-40. https://doi.org/10.1016/j.fct.2012.11.022
  7. Al-Snai A, Mousa H, Majid WJ. Medicinal plants possessed hepatoprotective activity. IOSR J Pharm. 2019;9(8):26-56.
  8. Li S, Tan HY, Wang N et al. The role of oxidative stress and antioxidants in liver diseases. Int J Mol Sci. 2015;16(11):26087-124. https://doi.org/10.3390/ijms161125942
  9. Nisar B, Sultan A, Rubab SL. Comparison of medicinally important natural products versus synthetic drugs. A short commentary. Nat Prod Chem Res. 2018;6:1-2. https://doi.org/10.4172/2329-6836.1000308
  10. Sherif AE, Amen Y, Shimizu K. Validation of the potential anti-inflammatory activity of Plumbago auriculata Lam. S Afr J Bot. 2022;147:467-71. https://doi.org/10.1016/j.sajb.2022.01.028
  11. Selim NM, Melk MM, Melek FR, Saleh DO, Sobeh M, El-Hawary SS. Phytochemical profiling and anti-fibrotic activities of Plumbago indica L. and Plumbago auriculata Lam. in thioacetamide-induced liver fibrosis in rats. Sci Rep. 2022;12:9864. https://doi.org/10.1038/s41598-022-13718-9
  12. Paiva SRD, Fontoura LDA, Figueiredo MR, Mazzei JL, Kaplan MAC. Perfil cromatográfico de duas espécies de Plumbaginaceae: Plumbago scandens L. E Plumbago auriculata Lam. Quím Nova. 2002;25:717-21. https://doi.org/10.3390%2Fpharmaceutics15051535
  13. Kokate CK, Gokhale SB, Purohit AP. A textbook of pharmacognosy. 29th ed. Nirali Prakashan. 2009;635.
  14. Harborne JB. Phytochemical methods. London: Chapman and Hall. 1973;278.
  15. Sarker SD, Latif Z, Gray AI. Natural products isolation. 2nd ed. USA: New Jersey. 2005;515. https://doi.org/10.1385/1592599559
  16. Bank/WHO U. Non-Clinical Safety. 2002;115.
  17. Hamid ZM, Sahib HB. The acute toxicity of rutin in mice. Iraqi J Pharm Sci. 2021;30(2). https://doi.org/10.31351/vol30iss2pp231-240
  18. Bedi O, Krishan P. Investigations on acute oral toxicity studies of purpurin by application of OECD guideline 423 in rodents. Naunyn Schmiedebergs Arch Pharmacol. 2020;393(4):565-71. https://doi.org/10.1007/s00210-019-01742-y
  19. Nair RR. Evaluation of acute and sub-acute oral toxicity of ethanolic root extract of Tetracera akara (Burm. f.) Merr., an ethnomedicinal plant used by the Kani tribe of Kerala. J Tradit Folk Pract. 2018;5(2). https://doi.org/10.25173/jtfp.2017.5.2.74
  20. Karimi G, Josan SH, Memar B, Esmaeili SA, Zanzani BR. Immunomodulatory effects of silymarin after subacute exposure to mice: A tiered approach immunotoxicity screening. J Pharmacopuncture. 2018;21(2):90-97. https://doi.org/10.3831%2FKPI.2018.21.011
  21. Huang HL, Wang YJ, Zhang QY, Liu B, Wang FY, Li JJ, Zhu RZ. Hepatoprotective effects of baicalein against CCl4-induced acute liver injury in mice. World J Gastroenterol. 2012;18(45):6605-13. https://doi.org/10.3748/wjg.v18.i45.6605
  22. Wang M, Niu J, Ou L, Deng B, Wang Y, Li S. Zerumbone protects against carbon tetrachloride (CCl4)-induced acute liver injury in mice via inhibiting oxidative stress and the inflammatory response: Involving the TLR4/NF-?B/COX-2 pathway. Molecules. 2019;24(10):1964. https://doi.org/10.3390/molecules24101964
  23. Akovlevich GN, Nikolayevna KV, Borisovich LV, Semenovich R?. Dose and time-dependent acute and subchronic oral toxicity study of propoxazepam in mice and rats. Int J Pharmacol Toxicol. 2020;8(1):1. https://doi.org/10.14419/ijpt.v8i1.29531
  24. Da Silva ARH, Moreira LDR, Brum EDS, De Freitas ML, Boligon AA, Athayde ML et al. Biochemical and hematological effects of acute and sub-acute administration to ethyl acetate fraction from the stem bark Scutia buxifolia Reissek in mice. J Ethnopharmacol [Internet]. 2014;153(3):908-16. Available from: http://dx.doi.org/10.1016/j.jep.2014.03.063
  25. Yahya F, Mamat SS, Kamarolzaman MFF, Seyedan AA, Jakius KF et al. Hepatoprotective activity of methanolic extract of Bauhinia purpurea leaves against paracetamol-induced hepatic damage in rats. Evid Based Complement Alternat Med. 2013;2013:636580. https://doi.org/10.1155/2013/636580
  26. Abdul-Wahab FK, Abdul Jalil TZ. Study of Iraqi spinach leaves (phytochemical and protective effects against methotrexate-induced hepatotoxicity in rats). Iraqi J Pharm Sci. 2012;21(2).
  27. Daniel WW, Cross CL. Biostatistics: A foundation for analysis in the health sciences. Las Vegas: Wiley; 2018.
  28. Piyachaturawat P, Tubtim C, Chuncharunee A, Komaratat P, Suksamrarn A. Evaluation of the acute and subacute toxicity of a choleretic phloracetophenone in experimental animals. Toxicol Lett. 2002;12 (1-2):123-32. https://doi.org/10.1016/S0378-4274(02)00006-1
  29. Saraswat B, Visen PK, Patnaik GK, Dhawan BN. Anticholestastic effect of Picroliv, active hepatoprotective principle of Picrorhiza kurroa against CCl4 induced cholestasis. Indian J Exp Biol. 1993;31:316-18.
  30. Kleiner DE, Chalasani NP, Lee WM et al. Hepatic histological findings in suspected drug-induced liver injury: Systematic evaluation and clinical associations. J Hepatol. 2014;59(2):661-70. https://doi.org/10.1002/hep.26709
  31. Sajid M, Khan MR, Shah NA et al. Phytochemical, antioxidant and hepatoprotective effects of Alnus nitida bark in carbon tetrachloride challenged Sprague Dawley rats. BMC Complement Altern Med. 2016;16(1):268. https://doi.org/10.1186/s12906-016-1245-3
  32. Alkreathy HM, Khan RA, Khan MR, Sahreen S. CCl4 induced genotoxicity and DNA oxidative damages in rats: Hepatoprotective effect of Sonchus arvensis. BMC Complement Altern Med. 2014;14(1):452. https://doi.org/10.1186/1472-6882-14-452
  33. Khan RA, Khan MR, Sahreen S. Attenuation of CCl4-induced hepatic oxidative stress in rat by Launaea procumbens. Exp Toxicol Pathol. 2013;65(3):319-26. https://doi.org/10.1016/j.etp.2011.11.001
  34. Jose B, Dhanya, BP, Silja, PK, Krishnan PN, Satheeshkumar K. Plumbago rosea L.- A review on tissue culture and pharmacological research. Int J Pharm Sci Rev Res. 2014;25:246-56.
  35. Tharmaraj RJJM, Antonysamy JM. Studies on the inter-specific variation in the genus Plumbago (Plumbaginaceae) from South India using phytochemical analysis. Indo Am J Pharm Res. 2013;3:3892-902.
  36. Singh K, Naidoo Y, Baijnath H. A comprehensive review on the genus Plumbago with focus on Plumbago auriculata (Plumbaginaceae). Singh et al., Afr J Tradit Complement Altern Med. 2018;15(1):199-215. https://doi.org/10.21010/ajtcam.v15i1.21
  37. Abdulhussein AL, Mutlag SH, Khamees AM, Sahib HB, Ghazi MF. Evaluation of antiangiogenic and antioxidant activity of Harpagophytum procumbens (devil’s claw). Drug Invention Today. 2018;10.
  38. Demma J, Engidawork E, Hellman B. Potential genotoxicity of plant extracts used in Ethiopian traditional medicine. J Ethnopharmacol. 2009;122:136-42. https://doi.org/10.1016/j.jep.2008.12.013
  39. Padhye S, Dandawate P, Yusufi M, Ahmad A, Sarkar FH. Perspectives on medicinal properties of plumbagin and its analogs. Med Res Rev. 2010;10:1-28.
  40. https://doi.org/10.1002/med.20235
  41. Cheedella HK, Alluri R, Ghanta KM. Hepatoprotective and antioxidant effect of Ecbolium viride (Forssk.) Alston roots against paracetamol-induced hepatotoxicity in albino wistar rats. J Pharm Res. 2013;7(6):496-501. https://doi.org/10.1016/j.jopr.2013.06.001

Downloads

Download data is not yet available.