Skip to main navigation menu Skip to main content Skip to site footer

Research Articles

Vol. 11 No. 4 (2024)

A new species of Pythium hydnosporum as a pathogen associated with vine decline of melon (Cucumis melo L.) in Iraq

DOI
https://doi.org/10.14719/pst.3721
Submitted
16 April 2024
Published
16-10-2024 — Updated on 24-10-2024
Versions

Abstract

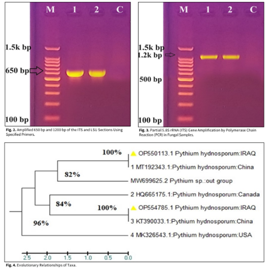
Several pathogenic fungi have become an important vine decline of cantaloupe melone (Cucumis melo L.). In 2021, root rot on cantaloupe was observed during the harvest phase in the fields in Penjwen and Shahrazoor in Sulaimani governorate of Northern Kurdistan region Iraq. This present study was conducted to isolate the causal agent of fungi in lesions of root rot of cantaloupe. A total of 16 fungal isolates were obtained of which isolates Monosporascus cannonballus, M. eutypoides, Acremonium vitellinium, Fusarium oxysporium, F. equiseti, Macrophomina phaseolina, Saccharomyces kudriavzevii, F. robinianum, Rhizopus arrhizus, Botrytis cinerea, Cytospora eucalypticola, F. falciforme, Pythium hydnosporum, Alternaria tenuissima, Rhizoctonia solani and Phytophthora colocasiae were obtained from root melon. Identification of all fungal isolates was based on using both morphological characteristics and molecular analysis, on internal transcribed spacer (ITS1, ITS4, LSU) are primers that are used for identification. DNA sequences of the fungal pathogen were identified as Pythium hydnosporum a new pathogenic fungi causal agent of cantaloupe vine decline. A pathogenicity test was conducted to verify Koch's postulates and P. hydnosporum was observed to cause root rot of melon, symptoms of the disease were similar to those seen in the field.

References

  1. FAO (Food and Agriculture Organization). FAOSTAT – Food and agriculture,data.(2020).Disponívelem: Acesso em: 11 jan. 2021. http://www.fao.org/faostat/en/#home.
  2. Webster, J. and R.W.S. Weber Introduction to Fungi. Cambridge University Press, New York(2007).
  3. Kirk, P.M, P.F. Cannon, D.W. Minter and J.A. Stalpers Ainsworth and Bisby’s dictionary of the fungi, 2008. 10th edn. CAB International., Wallingford
  4. Mathew, R., K.K. Singh and B. Paul Pythium campanulatum sp. Nov., isolated from the rhizosphere of maize, its taxonomy, ITS region of rDNA and comparisonwith related species. FEMS Microbiol. Lett., 2003. 226: 9-14
  5. Ho, H.H., X.X. Chen., H.C. Zeng and F.C. Zheng The occurrence and distribution of Pythium species on Hainan Island of South China. Botanical Studies, 2012. 53: 525-534.
  6. Agrios, G.N. Plant pathology. 5th Edn.., Elsevier Academic press Amsterdam, New York, USA., ISBN- 2005;13:9780120445653, Pages: 922.
  7. Scott, P. T., Martin, H. L., Boreel, S. M., Wearing, A. H. and Maclean, D. J.. Molecular characterization, pathogenesis and fungicide sensitivity of Pythium spp. from table beet (Beta vulgaris var. vulgaris) grown in the Lockyer Valley, Queensland. Australasian Plant Pathology, 2005;34: 361-368.
  8. Al-Doory, Y., M.K. Tolba and H. Al-Ani On the fungal flora of Iraqi Soils. II- Central Iraq. Mycologia, 1959;11: 429- 439.
  9. Dewan, M.M. Identification and the efficacy of agricultural methods on controlling some causal agents of damping off and root rot of sugar beet. 1977;M.S.C., Agriculture College. University of Baghdad. (Arabic).
  10. El-Behadli, A. and A. Al-Azawi Preliminary survey of disease in greenhouse in Iraq. Iraqi Journal of Agriculture Sci., (Abstr.). 1979; 15-16.
  11. Askari, S., Rohani, H., Falahati Rastegar, M., Mehdikhani Moghadam, E. and Mokaram Hesar, A. Morphological identification of Pythium species from vegetable crops in Razavi province. 19th Iranian Plant Protection Congress. Iran, Tehran. 2010; P. 123
  12. Martin, F. N. and Loper, J. E.. Soilborne plant diseases caused by Pythium spp.: ecology, epidemiology, and prospects for biological control. Plant Science, 1999;18 (23): 111–181.
  13. Jahanbakhsh, V.. Investigation foot and root rot of honeydew melon in Khorasan
  14. province. M. Sc. Thesis submitted to the College of Agriculture, University of Ferdowsi Mashhad. 1998; 95 P.
  15. Aegerter, B. J., Gordon, T. R. and Davis, R. M.. Occurrence and pathogenicity of fungi associated with melon root rot and vine decline in California. Plant Disease, 2000;84: 224- 230.
  16. De Cara, M., Lopez, V., Santos, M., Tello Marquina, J. C.. Association of Pythium aphanidermatum with root and crown rot of melons in Honduras. Plant Disease, 2008,92 (3): 483.
  17. Al-Sadi, A. M., Deadman, M. L., Al-Said, F. A. and Khan, I.. First report of Pythium
  18. splendens associated with severe wilt of muskmelon (Cucumis melo) in Oman. Plant Pathology, 2008,92 (2): 313.
  19. Paul, B. ITS region of the rDNA ofPythium longaudrum a new species: its Taxonomy and its comparison with related species. FEMA. Microbiol. Lett., 2001. 202: 239-242.
  20. Refaei J, Jones EBG, Sakayaroj J, Santhanam J. Endophytic fungi from Rafflesia cantleyi: species diversity and antimicrobial activity. Mycosphere ,2011; 2:429–447.
  21. White TJ, Bruns T, Lee S, Taylor J. Amplification and direct se-quencing of fungal ribosomal rna genes for phylogenetics. In PCR Protocols. Academic Press. Inc. 1990. https:// doi.org/10.1016/B978-0-12-372180-8.50042-1
  22. Vilgalys R, Hester M. Rapid genetic identification and mapping of enzymatically amplified ribosomal dna from several Crypto-coccus species. J Bacteriol. 1990;172:4238-46. https:// doi.org/10.1128/jb.172.8.4238-4246.1990
  23. Glass NL, Donaldson GC. Development of primer sets designed for use with the PCR to amplify conserved genes from filamen-tous Ascomycetes. Appl Environ Microbiol. 1995;61:1323-30. https://doi.org/10.1128/aem.61.4.1323-1330.1995
  24. van der Plaats-Niterink, A. J.. Monograph of the genus Pythium. Studies in Mycology. Baarn, Centraalbureau voor Schimmelcultures. Monograph.1981; 21:242.
  25. Edgar RC. MUSCLE: A multiple sequence alignment method with reduced time and space complexity. BMC Bioinformatics. 2004;5:1-19. https://doi.org/10.1186/1471-2105-5-113
  26. Hall A. Bioedit version 6.0.7. Available online: http:// www.mbio.ncsu.edu/bioedit/bioedit.html (accessed on 20 Au-gust 2022).
  27. Felsenstein J. Confidence limits on phylogenies: An approach using the bootstrap. Evolution. 1985;39:783-91. https:// doi.org/10.1111/j.1558-5646.1985.tb00420.x
  28. Stamatakis A. RAxML-VI-HPC: Maximum likelihood-based phylo-genetic analyses with thousands of taxa and mixed models. Bioinformatics. 2006;22:2688-90. https://doi.org/10.1093/bioinformatics/btl446
  29. Miller MA, Pfeiffer W, Schwartz T. Creating the CIPRES science gateway for inference of large phylogenetic trees. In: Proceed-ings of the 2010 Gateway Computing Environments Workshop (GCE); IEEE: New Orleans, LA, USA. 2010; pp. 1-8. https:// doi.org/10.1109/GCE.2010.5676129
  30. Ronquist F, Teslenko M, Van Der Mark P, Ayres DL, Darling A, Höhna S et al. MrBayes 3.2: Efficient bayesian phylogenetic in-ference and model choice across a large model space. Syst Biol. 2012;61:539-42. https://doi.org/10.1093/sysbio/sys029
  31. Darriba D, Taboada GL, Doallo R, Posada D. JModelTest 2: More models, new heuristics and high-performance computing. Nat Methods. 2012;9:772. https://doi.org/10.1038/nmeth.2109
  32. MIDDLETON, J. T.) .-The taxonomy, host range and geographic distribution of the genus Pythium. Mem. Torrey Bot. Cl. 1943;20 (1).
  33. AL HASSAN, I(. K. & FERGUS, C. L. Oospore production of Pythium artotrogus, Mycopath. et Mycol. Appl. 1969; 39: 273--286.
  34. Sneath PHA, Sokal RR. Numerical taxonomy. Freeman, San Francisco. 1973.
  35. Bickel JT, Koehler AM. Review of Pythium species causing damping-off in corn. Plant Health Progress. 2021;22:3. https:// doi.org/10.1094/PHP-02-21-0046-FI
  36. Schmidt CS, Leclerque A, Pfeiffer T, Goessling JW, Olik M, Jam-shidi B et al. Pathogenicity of Pythium species to maize. European Journal of Plant Pathology. 2020;158:335-47. https://doi.org/10.1007/s10658-020-02076-9
  37. Schroeder KL, Martin FN, de Cock AW, Lévesque CA, Spies CF, Okubara PA, Paulitz TC. Molecular detection and quantification of Pythium species: evolving taxonomy, new tools, and challenges. Plant disease. 2013 Jan;97(1):4-20.

Downloads

Download data is not yet available.