Skip to main navigation menu Skip to main content Skip to site footer

Research Articles

Early Access

Protective effect of Vitex altissima L.f. bark extract on cisplatin-induced renal injury in Wistar rats

DOI
https://doi.org/10.14719/pst.1586
Submitted
8 November 2021
Published
22-05-2022
Versions

Abstract

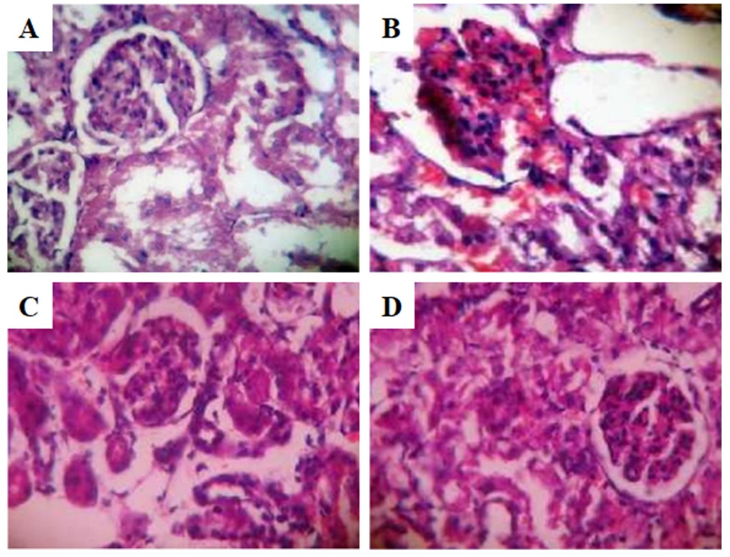
Cisplatin (CP) is a commonly used chemotherapeutic drug. The major limiting factor in the use of CP is the side effects in normal tissues, including the kidney. Since ancient times, medicinal plants are rich sources of various bioactive constituents used to treat multiple ailments, including drug toxicities. The present work is a preliminary study to explore the renoprotective actions of methanolic extract of Vitex altissima L.f. bark (Va) against CP-induced renal damage in Wistar rats. Va was found to have potent radical scavenging activity than metal ion reducing power properties, compared with ascorbic acid. Further, Va was evaluated for nephroprotective activity in rats induced by CP (8 mg/kg; intraperitoneal) on the 7th day. The animals were grouped (n = 6) and treated with Va (100 and 200 mg/kg) orally for 14 days. The outcomes of the study found that CP significantly (P < 0.001) altered the oxidative stress markers (MDA, SOD and CAT), serum urea and creatinine levels. The administration of Va significantly halted the toxic condition and maintained it towards normal levels. The higher dose of Va significantly (P < 0.001) raised the SOD and CAT levels and halted the MDA levels than the low dose. Also, a higher dose of Va maintained the normal integrity of the histopathological studies of kidneys than a low dose. The present study demonstrates that V. altissima can attenuate the oxidative stress induced by CP by enhancing the endogenous antioxidant levels and depleting the lipid peroxidation levels.

References

  1. Santos C, Martinez CBR. Multixenobiotic resistance mechanism: Organ-specific characteristics in the fish Prochilodus lineatus and its role as a protection against genotoxic agents. Comp Biochem Physiol C Toxicol Pharmacol. 2021;243:108996. https://doi.org/10.1016/j.cbpc.2021.108996
  2. Bajaj P, Chowdhury SK, Yucha R, Kelly EJ, Xiao G. Emerging kidney models to investigate metabolism, transport and toxicity of drugs and xenobiotics. Drug Metab Dispos. 2018;46:1692-702. https://doi.org/10.1124/dmd.118.082958
  3. Tiong HY, Huang P, Xiong S, Li Y, Vathsala A, Zink D. Drug-induced nephrotoxicity: Clinical impact and preclinical in vitro models. Mol Pharm. 2014;11:1933-48. https://doi.org/10.1021/mp400720w
  4. Tatipamula VB, Killari KN, Prasad K, Rao GSNK, Talluri MR, Vantaku S et al. Cytotoxicity studies of the chemical constituents from marine algae Chara baltica. Indian J Pharm Sci. 2019;81:815-23. https://doi.org/10.36468/pharmaceutical-sciences.575
  5. Kim KS, Lim HJ, Lim JS, Son JY, Lee J, Lee BM et al. Curcumin ameliorates cadmium-induced nephrotoxicity in Sprague-Dawley rats. Food Chem Toxicol. 2018;114:34-40. https://doi.org/10.1016/j.fct.2018.02.007
  6. Kumblekar V, Sudha K, Rai S, Reshma K, Rao D. Evaluation of nephroprotective effects of Persea americana on cisplatin induced nephrotoxicity in albino wistar rats. Med Plants - Int J Phytomed Relat Ind. 2019;11:344-51. https://doi.org/10.5958/0975-6892.2019.00044.3
  7. Yimit A, Adebali O, Sancar A, Jiang Y. Differential damage and repair of DNA-adducts induced by anti-cancer drug cisplatin across mouse organs. Nat Commun. 2019;10:309. https://doi.org/10.1038/s41467-019-08290-2
  8. Paz-Ares L, Dvorkin M, Chen Y, Reinmuth N, Hotta K, Trukhin D et al. Durvalumab plus platinum–etoposide versus platinum–etoposide in first-line treatment of extensive-stage small-cell lung cancer (CASPIAN): a randomised, controlled, open-label, phase 3 trial. Lancet. 2019;394:1929-39. https://doi.org/10.1016/s0140-6736(19)32222-6
  9. Polimati H, Pragada RR, Thuan NH, Tatipamula VB. Hepatoprotective potential of bioflavonoids. Stud Nat Prod Chem. 2022;72:259-85. https://doi.org/10.1016/B978-0-12-823944-5.00014-4
  10. Nguyen TB, Do DN, Nguyen-Thanh T, Tatipamula VB, Nguyen HT. Identification of five hub genes as key prognostic biomarkers in liver cancer via integrated bioinformatics analysis. Biology. 2021;10:957. https://doi.org/10.3390/biology10100957
  11. Yang J, Han J, He J, Duan B, Gou Q, Ai P et al. Real-world cost-effectiveness analysis of gemcitabine and cisplatin compared to docetaxel and cisplatin plus fluorouracil induction chemotherapy in locoregionally advanced nasopharyngeal carcinoma. Front Oncol. 2020;10:2923. https://doi.org/10.3389/fonc.2020.594756
  12. Fang CY, Lou DY, Zhou LQ, Wang JC, Yang B, He QJ et al. Natural products: Potential treatments for cisplatin-induced nephrotoxicity. Acta Pharmacol Sin. 2021:1-9. https://doi.org/10.1038/s41401-021-00620-9
  13. Nguyen HT, Le DT, Duong QH, Tatipamula VB, Nguyen BV. High frequency of microsatellite instability and its substantial co existence with KRAS and BRAF mutations in Vietnamese patients with colorectal cancer. Oncol Lett. 2021;21:41. https://dx.doi.org/10.3892%2Fol.2020.12302
  14. Tatipamula VB, Killari KN, Polimati H, Ketha A. Chemical and biological investigations on mangrove associated lichens (Manglicolous lichens) from India: A review. Indian J Pharm Sci. 2021;83:186-94. https://doi.org/10.36468/pharmaceutical-sciences.764
  15. Morsy MA, Heeba GH. Nebivolol ameliorates cisplatin-induced nephrotoxicity in rats. Basic Clin Pharmacol Toxicol. 2016;118:449-55. https://doi.org/10.1111/bcpt.12538
  16. Paidi KR, Tatipamula VB, Kolli MK, Pedakotla V. Benzohydrazide incorporated imidazo [1, 2-b] pyridazine: Synthesis, characterization and in vitro anti-tubercular activity. Int J Chem Sci. 2017;15:172. Available from: https://www.tsijournals.com/articles/benzohydrazide-incorporated-imidazo-12b-pyridazine-synthesis-characterization-and-in-vitro-antitubercular-activity-13422.html https://doi.org/10.2174/2211352515666170821155217
  17. Tatipamula VB, Nguyen HT, Kukavica B. Beneficial effects of liposomal formulations of lichen substances: A review. Curr Drug Deliv. 2022;19:252-59. https://doi.org/10.2174/1567201818666210713110719
  18. Yang Z, Schumaker LM, Egorin MJ, Zuhowski EG, Quo Z, Cullen KJ. Cisplatin preferentially binds mitochondrial DNA and voltage-dependent anion channel protein in the mitochondrial membrane of head and neck squamous cell carcinoma: Possible role in apoptosis. Clin Cancer Res. 2006;12:5817-25. https://doi.org/10.1158/1078-0432.ccr-06-1037
  19. Nguyen HT, Tatipamula VB, Do DN, Huynh TC, Dang MK. Retrieving high-quality genomic DNA from formalin-fixed paraffin-embedded tissues for multiple molecular analyses. Prep Biochem Biotechnol. 2022;52:48-55. https://doi.org/10.1080/10826068.2021.1923030
  20. Tatipamula VB, Kukavica B. Phenolic compounds as antidiabetic, anti?inflammatory and anticancer agents and improvement of their bioavailability by liposomes. Cell Biochem Funct. 2021;39:926-44. https://doi.org/10.1002/cbf.3667
  21. Nguyen HT, Vu TY, Chandi V, Polimati H, Tatipamula VB. Dual COX and 5-LOX inhibition by clerodane diterpenes from seeds of Polyalthia longifolia (Sonn.) Thwaites. Sci Rep. 2020;10:15965. https://doi.org/10.1038/s41598-020-72840-8
  22. Sridhar C, Rao KV, Subbaraju GV. Flavonoids, triterpenoids and a lignan from Vitex altissima. Phytochemistry. 2005;66:1707-12. https://doi.org/10.1016/j.phytochem.2005.05.008
  23. Sridhar C, Subbaraju GV, Venkateswarlu Y, Venugopal RT. New acylated iridoid glucosides from Vitex altissima. J Nat Prod. 2004;67:2012-16. https://doi.org/10.1021/np040117r
  24. Tatipamula VB, Annam SS. Antimycobacterial activity of acetone extract and isolated metabolites from folklore medicinal lichen Usnea laevis Nyl. against drug-sensitive and multidrug-resistant tuberculosis strains. J Ethnopharmacol. 2022;282:114641. https://doi.org/10.1016/j.jep.2021.114641
  25. Tatipamula VB, Vedula GS. Antimicrobial and anti tubercular activities of isolates and semi synthetic derivatives of lichen Ramalina leiodea (Nyl.) Nyl. J Serb Chem Soc. 2019;84:555-62. https://doi.org/10.2298/https://doi.org/10.2298/JSC180924003T
  26. Thuan NH, Polimati H, Alluri R, Tatipamula VB. Bioassay-guided isolation of antimycobacterial substances from the traditionally used lichen Cladonia pyxidata (L.) Hoffm. 3 Biotech. 2022;12:95. https://doi.org/10.1007/s13205-022-03159-6
  27. Tatipamula VB, Killari KN, Gopaiah KV, Ketha A. GC-MS analysis of ethanol extract of Taxithelium napalense (Schwaerg) Broth along with its alpha-glucosidase inhibitory activity. Indian J Pharm Sci. 2019;81:569-74. https://doi.org/10.36468/pharmaceutical-sciences.547
  28. Hieu HV, Tatipamula VB, Killari KN, Koneru ST, Srilakshmi N, Ranajith SK. HPTLC analysis, antioxidant and antidiabetic activities of ethanol extract of moss Fissidens grandiflora. Indian J Pharm Sci. 2020;82:449-55. https://doi.org/10.36468/pharmaceutical-sciences.667
  29. Haritha P, Patnaik SK, Tatipamula VB. Chemical and pharmacological evaluation of manglicolous lichen Graphis ajarekarii Patw. & C. R. Kulk. Vietnam J Sci Technol. 2019;53:300-08. https://doi.org/10.15625/2525-2518/57/3/13679
  30. Tatipamula VB, Kolli MK, Lagu SB, Paidi KR, Reddy PR, Yejella RP. Novel indolizine derivatives lowers blood glucose levels in streptozotocin-induced diabetic rats: A histopathological approach. Pharmacol Rep. 2019;71:233-42. https://doi.org/10.1016/j.pharep.2018.11.004
  31. Allameh H, Fatemi I, Malayeri AR, Nesari A, Mehrzadi S, Goudarzi M. Pretreatment with berberine protects against cisplatin-induced renal injury in male Wistar rats. Naunyn-Schmiedeberg's Arch Pharmacol. 2020;393:1825-33. https://doi.org/10.1007/s00210-020-01877-3
  32. Tatipamula VB, Kukavica B. Protective effects of extracts of lichen Dirinaria consimilis (Stirton) DD. Awasthi in bifenthrin- and diazinon-induced oxidative stress in rat erythrocytes in vitro. Drug Chem Toxicol. 2022;45:680-87. https://doi.org/10.1080/01480545.2020.1762632
  33. Killari KN, Hieu HV, Thuan NH, Polimati H, Tatipamula VB, Kumar GV et al. Role of ethanolic extract of Microdus brasiliensis (Duby) Ther. in protecting survival rate in sepsis: An in vivo study. Indian J Pharm Sci. 2021;83:437-42. https://doi.org/10.36468/pharmaceutical-sciences.792
  34. Nguyen TT, Ketha A, Hieu HV, Tatipamula VB. In vitro antimycobacterial studies of flavonols from Bauhinia vahlii Wight & Arn. 3 Biotech. 2021;11:128. https://doi.org/10.1007/s13205-021-02672-4
  35. Oyeyemi AO, Oseni OA, Molehin OR, Babatunde AO. Influence of Polyalthia longifolia (Sonn) leaves on oxidative stress biomarkers in the kidney of cadmium-induced toxicity rats. Comp Clin Path. 2020;29:525-32. https://doi.org/10.1007/s00580-019-03088-6
  36. Kumar M, Dahiya V, Kasala ER, Bodduluru LN, Lahkar M. The renoprotective activity of hesperetin in cisplatin induced nephrotoxicity in rats: Molecular and biochemical evidence. Biomed Pharmacother. 2017;89:1207-15. https://doi.org/10.1016/j.biopha.2017.03.008
  37. Nguyen HT, Vu TY, Kumar AV, Hoang VN, My PT, Mandal PS et al. N-Aryl iminochromenes inhibit cyclooxygenase enzymes via ?–? stacking interactions and present a novel class of anti-inflammatory drugs. RSC Adv. 2021;11:29385-93. https://doi.org/10.1039/D1RA04407A
  38. Tatipamula VB, Tatipamula VK. Dibenzofurans from Cladonia corniculata Ahti and Kashiw inhibit key enzymes involved in inflammation and gout: An in vitro approach. Indian J Chem Sec B. 2021;60:715-59. http://nopr.niscair.res.in/handle/123456789/57588
  39. Tatipamula VB, Annam SSP, Nguyen HT, Polimati H, Yejella RP. Sekikaic acid modulates pancreatic ?-cells in streptozotocin-induced type 2 diabetic rats by inhibiting digestive enzymes. Nat Prod Res. 2021;35:5420-54. https://doi.org/10.1080/14786419.2020.1775226
  40. Nojiri T, Hosoda H, Kimura T, Tokudome T, Miura K, Takabatake H et al. Protective effects of ghrelin on cisplatin-induced nephrotoxicity in mice. Peptides. 2016;82:85-91. https://doi.org/10.1016/j.peptides.2016.06.003
  41. Thuan NH, Shrestha A, Trung NT, Tatipamula VB, Van Cuong D, Canh NX et al. Advances in biochemistry and the biotechnological production of taxifolin and its derivatives. Biotechnol Appl Biochem. 2021:1-14. https://doi.org/10.1002/bab.2156
  42. Venkatesham K, Babu DC, Bharadwaj TV, Bunce RA, Rao CB, Venkateswarlu Y. Synthesis of n-alkyl terminal halohydrin esters from acid halides and cyclic ethers or thioethers under solvent-and catalyst-free conditions. RSC Adv. 2014;4:51991-94. https://doi.org/10.1039/C4RA10499D
  43. Pabla N, Dong Z. Cisplatin nephrotoxicity: Mechanisms and renoprotective strategies. Kidney Int. 2008;73:994-1007. https://doi.org/10.1038/sj.ki.5002786
  44. Yao X, Panichpisal K, Kurtzman N, Nugent K. Cisplatin nephrotoxicity: A review. Am J Med Sci. 2007;334:115-24. https://doi.org/10.1097/MAJ.0b013e31812dfe1e
  45. Abdellatief SA, Galal AAA, Farouk SM, Abdel-Daim MM. Ameliorative effect of parsley oil on cisplatin-induced hepato-cardiotoxicity: A biochemical, histopathological and immunohistochemical study. Biomed Pharmacother. 2017;86:482-91. https://doi.org/10.1016/j.biopha.2016.12.038
  46. Nguyen HT, Vu TY, Dakal TC, Dhabhai B, Nguyen XH, Tatipamula VB. Cleroda-4 (18), 13-dien-15, 16-olide as novel xanthine oxidase inhibitors: An integrated in silico and in vitro study. PloS one. 2021;16:e0253572. https://doi.org/10.1371/journal.pone.0253572
  47. Tatipamula VB, Ketha A. Manglicolous lichen Parmotrema tinctorum (Despr. ex Nyl.) Hale: Isolation, characterization and biological evaluation. Indian J Chem Sec B. 2021;59:856-61. http://nopr.niscair.res.in/handle/123456789/54780
  48. Palipoch S, Punsawad C. Biochemical and histological study of rat liver and kidney injury induced by cisplatin. J Toxicol Pathol. 2013;26:293-99. https://doi.org/10.1293/tox.26.293
  49. Rao CB, Babu DC, Bharadwaj TV, Srikanth D, Vardhan KS, Raju TV et al. Isolation, structural assignment and synthesis of (SE)-2-methyloctyl 3-(4-methoxyphenyl) propenoate from the marine soft coral Sarcophyton ehrenbergi. Nat Prod Res. 2015;29:70-76. https://doi.org/10.1080/14786419.2014.958742
  50. Chitturi BR, Tatipamula VB, Dokuburra CB, Mangamuri UK, Tuniki VR, Kalivendi SV et al. Pambanolides A–C from the South Indian soft coral Sinularia inelegans. Tetrahedron. 2016;72:1933-40. https://doi.org/10.1016/j.tet.2016.02.056

Downloads

Download data is not yet available.